It’s been entirely too long since I’ve last posted. It turns out that when you are actively learning and studying neurology, you are too consumed with confusion and self-hatred to write narcissistic posts on the Internet.
But not only are we free from the tyrannies of the unit called “Brain, Behavior, and Movement,” we are done with the first year of medical school altogether – with practically zero responsibilities for a full month. Which, importantly, means I can a) indulge in my false belief that people not named Grandma read this blog and b) write a lot about the last two months and the year more generally. Prepare yourselves.
(To those first year medical students at my school that have discovered or will discover this blog: you are about to have the most fun you’ve ever had getting your ass absolutely kicked in school, and most of what I write here is a tremendous exaggeration over real life because pathological lying runs in my family. Happy biochemistry!)
(Also to the first years, my grandma and mother make up 95% of the comments on this blog. They are not sorry about this, and I have no control over their rampaging Internet trolling).
Okay parentheticals over. Let’s start with the neurology exam, because physical diagnosis classes are hands down the most amusing part of first year. As I mentioned in “If Only The Neuro Exam Were Last Week” back in May, I missed learning how to self-diagnose a concussion by one week. Due to some vagaries in the course, it turns out I still do not know how to diagnose a concussion. On the flip side, I am quite talented at diagnosing an extraordinarily rare genetic illness called familial fatal insomnia. The relevance of this skill is zero, because all eleven people with cases of FFH, as the name implies, will die.
Anyway. In every textbook on neuroscience, neurology, or physical diagnosis, the following sentence will appear. “The neurological exam is elegant.”
Elegant can mean many things. I think of grace, flowing lines, or style. The neuro exam, especially a neuro exam performed by a bumbling klutz like myself, is none of these things. In class we learned the true meaning of elegant: “makes for exceedingly challenging test questions.”
For instance:
“A fifty-five year old man presented to the ER with acute onset of weakness. He had decreased muscle power and tone from the level of the umbilicus [that’s the belly button]. He had decreased sensing of pain and temperature on both sides, but his sensation of vibration was preserved. Where is the lesion, and what is the etiology?”
Any reasonably competent preclinical medical student who has just taken neurology and just studied this on Wikipedia in a frantic last-second cram session for a fourteen-hour final exam should be able to tell you the answer. This is an issue where the blood supply to part of the spinal cord got cut off. They can tell you exactly at what level of the back the damage is, and they can tell you exactly what parts of the spinal cord are affected and what parts are okay. (And they will get merely partial credit on their exam, because they forgot to mention other important things.)
Some may think this is cool, and I see why. But there are like 1048 permutations of this test question, each localizing to a different area. What if the sensory deficits were in the arms only, and not the legs? What if he had okay sensation but he was paralyzed? What if he was throwing up and had a droopy eyelid and — okay, I’ll stop.
Anyway. Neuro exam.
A major part of this “elegant” neuro exam is testing cranial nerves. Cranial nerves, for those of you not in medical school, are giant nerves that leave your brain and go all over your head and neck in wildly unpredictable directions. Not only do they all have names to memorize, but they all do different things. Well, except the abducens nerve, which is probably an evolutionary accident.
Anyway. You test cranial nerves by:
- Making your patient tell you how many fingers you’re holding up
- Making them follow your finger JUST LIKE IN THE MOVIES
- Shining a flashlight in their eye, which I assume is a specific test to see if they are hungover, or on bath salts
- Petting their face (because… just because.)
- Testing their hearing
- Having them open their mouth and say Ah, which is a test to see if your patient is actively contagious by infecting yourself
- Making them shrug their shoulders, as if to say, “nope I don’t know what I’m doing, either.”
After that, you do “cerebellar” testing. Allow me to be the first to share with you the full extent of the medical community’s knowledge about the cerebellum: It is a ball at the back of your head that looks suspiciously like packaged ground beef. We are pretty sure it does something with coordination, because if you break your ground beef you fall down a lot.
That’s it. That is everything we know about ground beef cerebellum.
(This is what free time gets you. Side by side, beef and cerebellum. Boom.)
Anyway, you test it by checking coordination. You know how on COPS when they make the drunk guy touch his finger to his nose, then touch the cop’s hand? That’s cerebellar testing. It’s as fun as it sounds.
You end the neurology exam by checking gait (walk down the hall), muscle strength, and sensation. The muscle strength part in particular is not fun, because it involves saying “squeeze my fingers,” which most patients interpret as “please use the Grip Of Death and break both my fingers in both hands.”
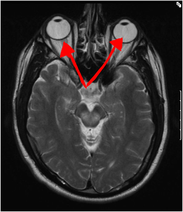
Once you’ve completed the neurology exam, you order a head MRI, because apparently every person gets a head MRI if they have ever fallen down before. Your intrepid student doctor will then interpret that MRI by saying, “I am pretty sure these are your eyeballs.”
Seriously, how creepy are MRI’s? (Also, if you care, this is a T2-weighted axial MRI displaying mild hyperintensities in bilateral thalamic regions, which is apparnetly characteristic for Wilson’s disease, which is on House like all the time. I just picked it because it had GREAT terrifying eyeballs.)
At this point, your medical student has completed his neuro exam and makes a graceful – nay, “elegant” exit. He will then go out to present his findings to the supervising physician.
That physician, in the time-honored tradition of neurology exams, will tell the medical student that he is, as usual, extremely wrong and extremely stupid, and maybe needs some cerebellar testing himself because he keeps bumping into things.
—
Other topics I’m going to post in the next couple of weeks: the physical diagnosis final exam, how neurology is exactly like a South Park episode, and how it feels to finish up first year.


LOL from your loyal fan – i remember grandpa learning cranial nerves-high above the mountain tops——yeah-first year done!!!!!love,grandma
Shining a flashlight in their eye, which I assume is a specific test to see if they are hungover, or on bath salts
Petting their face (because… just because.)
I laughed SO hard. YAHHH NATE FRIEDMAN!
Pingback: Neurology is Hard | Laughter is the Best Medicine
This is hilarious. You have a real gift for writing. Hope everything is going well!