After covering the heart and the kidneys, we’re now on the lungs. And with the lungs come chest x-rays. With chest x-rays come opacities and focal calcifications and diffuse consolidations. Also confusion, incompetency, and dismay.
We had an hour-long lecture on chest x-rays earlier this week by a very effusive radiologist. He was quite intent that radiology is the best specialty and nearly begged us to come visit him in the radiology suite, which I can only assume is a dark closet in the hospital sub-basement. He spent so much time trying to impress upon us that radiology is the funnest, greatest specialty of them all that I am quite convinced it is not.
I don’t think they let him out of that basement much.
The problem with interpreting chest x-rays is twofold. First, you have to have a pretty decent grasp of heart, lung, and general thorax anatomy to know what the hell you’re looking at. As I mentioned in “IDENTIFY. DESCRIBE. Fail,” anatomy is by far my worst subject. The radiologist was pointing out how some particular white blob on the film indicated the aortic arch, and how some other blob was the pulmonary trunk.
I believe, through my extensive six months medical training, that these are both blood vessels.
…
Blood vessels they are.
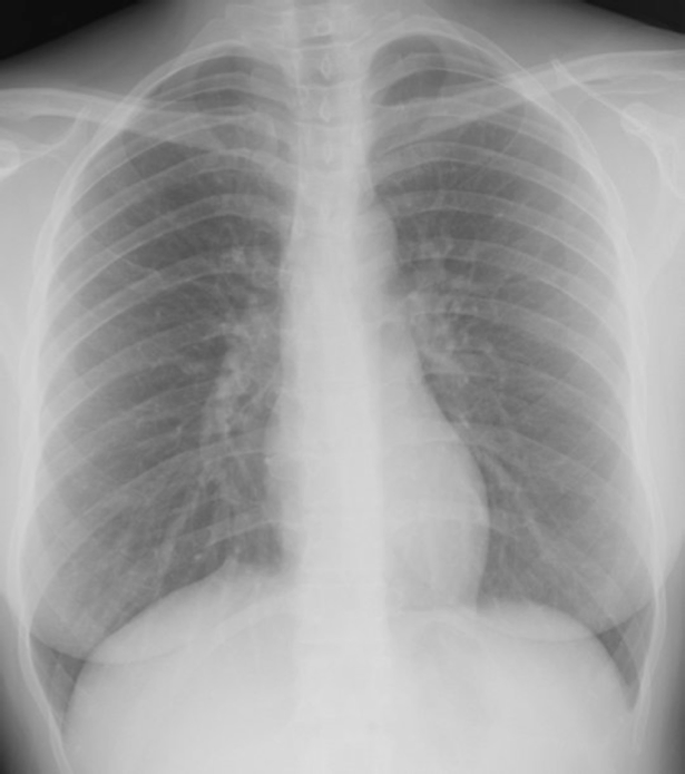
The second problem is that everything kind of looks the same, but what is “normal” for one patient could actually be a harbinger of certain, horrible death in another. How to tell the difference is totally beyond my puny, small brain. Here is an example:
Background Ground Rule for Reading X-rays #1: White things in the lung? Probably not a good thing. LOOK AT THESE LUNGS! They are covered in white! The lungs are supposed to look basically black. Air looks black. Because, you know, science.
(Yes, science.)
So obviously this is a horribly diseased lung and this person is about to keel over dead from some sort of horrible asbestos-induced disease. Or maybe a out-of-control fungus. Let’s look at the caption for this photo:
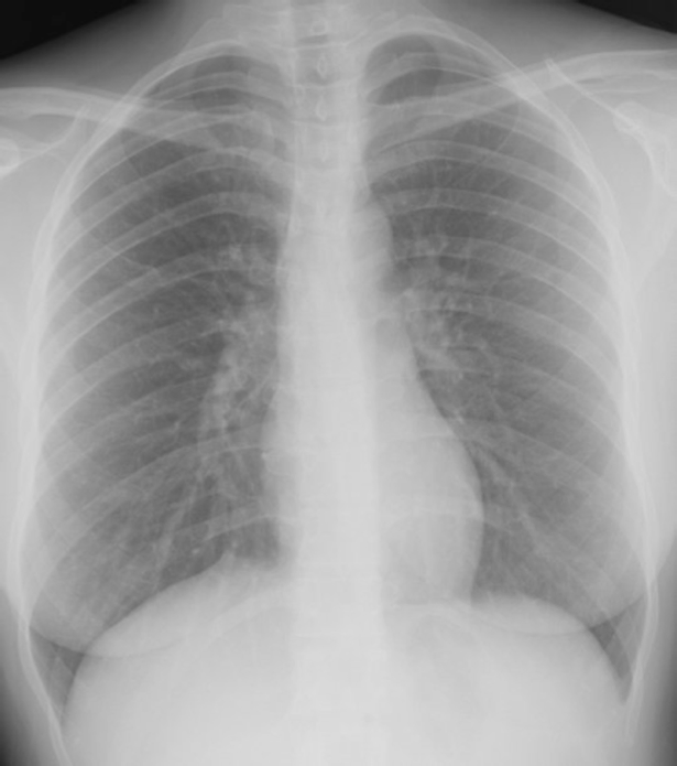
Well, sh*t.
The other frustrating thing about dealing with chest x-rays is sometimes the radiologist tells you something is there that you can’t actually, you know, see. For instance, when you evaluate an X-ray, you have to identify the “carina” as an important point of reference. “Carina” is the fancy medical word for the point where your trachea branches off into the two bronchi, the main tubes supplying the lungs.
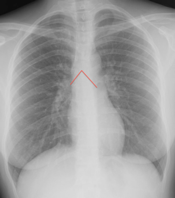
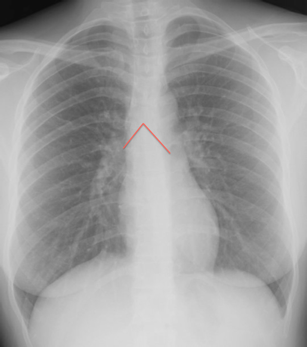
For orientation, here’s a cartoon of the carina:
The carina is where the pink tube splits in two, in case you’re like me and need everything explained like you’re five. It seems like you should be able to clearly pick this branch point out, right? Especially if you know roughly where it’s supposed to be. In lecture, Mr. Excited Radiologist demonstrated the branches with some helpful lines, which I have replicated here (same normal X-ray as before):
Do you see? No? Well, you should! Obviously the carina is right there for the taking, you idiots.
(I have looked at this x-ray until my eyes hurt. I see absolutely nothing. Maybe the carina is a mythical creation, like the PMI on the cardiac exam.
(Not that I’m bitter or anything.)
Once you’ve identified all the regular anatomy and made sure you have the right patient’s film blah blah blah other important things you’re supposed to do, then you figure out what’s wrong.
According to the Excited Radiology Professor, there are only three types of “opacities,” or Things That Shouldn’t Be There. These have fancy names that I can’t pronounce, like “atelectasis.” Each one has a list of things of things that cause it, but I can’t remember them all because, again, tiny brain.
(I’m told the clinical word for this is microcephaly, but ‘tiny brain’ sounds better.)
I think I’ll just refer all my chest x-rays to radiology. Maybe I’ll visit the Excited Radiology Professor. I’m sure he’d be happy to see me.




Request to meet said Radiology Professor outside of the basement. He’d appreciate that. (I know I never comment, but I love you for this blog.)
Pingback: Trauma Junior | Laughter is the Best Medicine
Pingback: Helpful Posts | Laughter is the Best Medicine